loader

Fyll ut skjema og bestill time

Periodontitt - Tannkjøttsykdom - Tannlege - Tannlege Førde

EMALJE TANNKLINIKK

Kva er periodontitt?
Periodontitt er ein betennelse i støttevevet til tennene. Betennelsen kan kome av dårleg
munnhygiene og gjer at kjevebeinet rundt tennene vert brote ned. Om tilstanden ikkje vert behandla, kan det føre til at tenner losnar og må fjernast.

Teikn på periodontitt
Om lag ti prosent av den vaksne befolkninga utviklar alvorleg periodontitt. Ved periodontitt er det få subjektive symptom. Enkelte vil likevel kunne oppleve dårleg ande og bløding frå tannkjøtet. Tannkjøtet vil òg vere noko ømt og hovent. Seinare i sjukdomsutviklinga vil tenner kunne verte lausare og eventuelt flytte på seg.

Utviklinga av periodontitt
Mangelfullt reinhald kan gje ein overflatisk betennelse i tannkjøtet (gingivitt). Tannkjøtet vert då hovent og får ein mørkare raudfarge. Det vil òg blø når ein rører det, og det vil kjennast ømt. Dette kjem av bakteriar og mjukt belegg som vert liggjande langs tannkrona (fig. I).








figur I
figur II
figur III
figur IV
 
Dersom belegget ikkje vert fjerna, vil det over tid verte forkalka og hardt. Det er dette me kallar tannstein. Tannstein forsterkar betennelsen, som fører til at beinet rundt tennene vert brote ned (fig. II). På denne måten vil tannstein og bakteriebelegg kunne strekkje seg stadig lenger ned langs rotoverflata (fig. III). Beintapet kan over tid verte så omfattande at tenner losnar og eventuelt må fjernast (fig. IV).

Normalt går det mange år før ei tann går tapt som følgje av periodontitt. Av og til opplever ein likevel hurtig nedbryting av tannfestet. Spesielle bakteriar er skuld i dette, og det kan i slike tilfelle ofte vere naudsynt med antibiotika som ein del av behandlinga.

Behandling av periodontitt:



Tannlege eller tannpleiar startar med ei grundig undersøking der ein kartlegg kor alvorleg sjukdomen er. Deretter lagar ein eit individuelt tilpassa behandlingsopplegg.

God munnhygiene er ein føresetnad for at behandlinga av periodontitt skal verte vellukka. Difor innleier ein behandlinga med hygieneopplæring. Det vert då demonstrert korrekt børsteteknikk og opplæring i bruk av hjelpemiddel for reinhald mellom tennene.

Neste behandlingstrinn vil vere å fjerne belegg og tannstein frå rotoverflata på tennene. Målet er å etterlate glatte rotoverflater slik at det vert lettare å halde tennene reine.

Behandlinga er tidkrevjande og strekkjer seg vanlegvis over fleire tannlegebesøk. I enkelte tilfelle kan det vere naudsynt med kirurgisk behandling for å få tilgang til rotoverflatene og kontroll over periodontitten.

Plakk og tannstein vert danna heile tida. Etter fullført behandling vil det difor vere naudsynt med oppfølgjande kontrollar og vedlikehaldsreins av tennene for å halde periodontitten i sjakk. Munnhygienen må kontrollerast, og instruksjonen må gjerne repeterast.

Sjølv om periodontittbehandlinga vert utført korrekt og etter beste evne, kan ein ikkje sjå vekk frå at tenner likevel går tapt på sikt.

Andre forhold vedrørende periodontitt:
  • Det er påvist at røyking framskundar utviklinga av periodontitt og gjev eit dårlegare
    behandlingsresultat. Det er difor tilrådd å slutte 
  • Stress, nedsett immunforsvar, enkelte sjukdomar og medisinbruk kan gjere at nedbrytinga av kjevebeinet skjer raskare. Arv er òg ein viktig faktor. Ver difor ekstra oppmerksam dersom du veit at andre i familien har hatt problem med tannkjøtet.

  • Etter folketrygdlova § 5-6 kan ein få stønad til systematisk behandling av periodontitt. Ein kan òg få stønad til å erstatte tenner som er gått tapt som følgje av periodontitt.
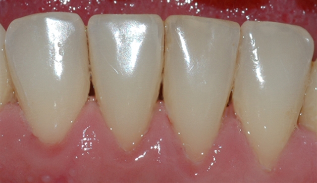
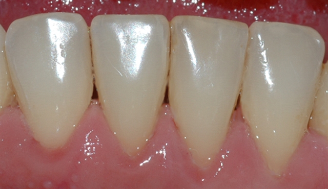
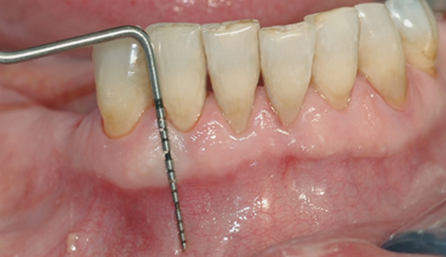
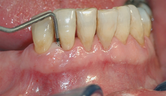
  • Biletet viser tilsynelatande normale tannkjøttilhøve ved tenner i underkjeven.

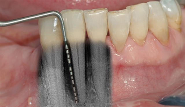
  • Ei undersøking med lommeregistrering avdekkjer likevel eit omfattande beintap ved den eine
    tanna.

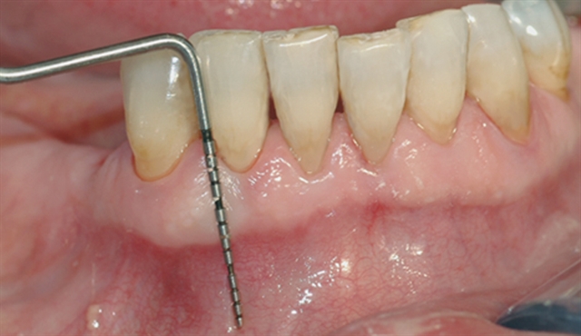
  • Instrumentet er her lagt utanpå tannkjøtet for å vise kor omfattande festetapet er.

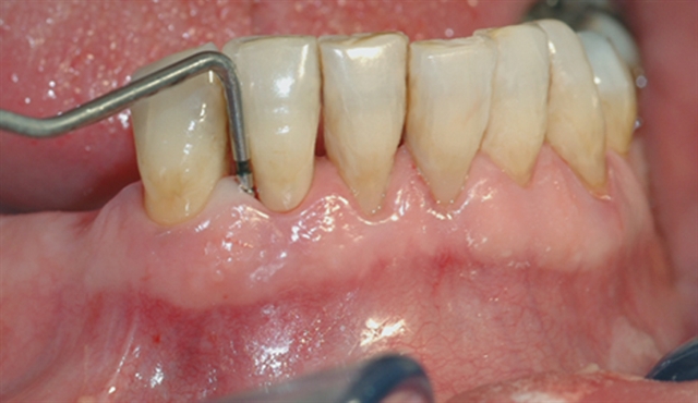
  • Beintapet vert bekrefta av eit røntgenbilete – skaden er så stor at tanna må fjernast.

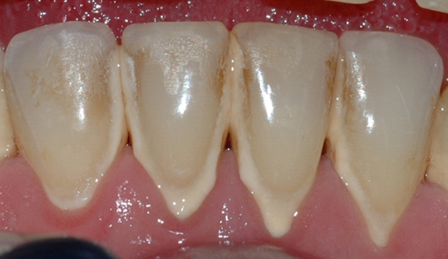
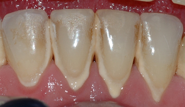
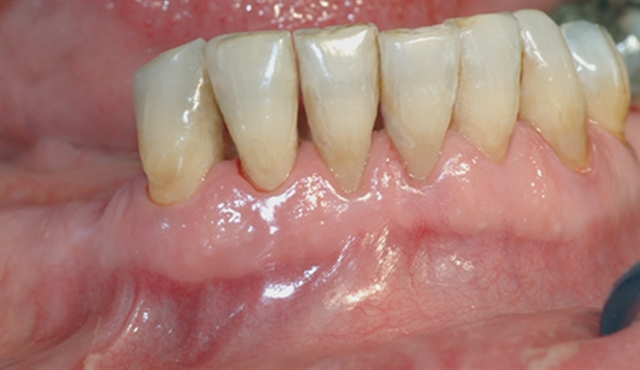
  • Biletet viser eit tannsett med synleg tannstein og misfarging.

  • Biletet viser eit nærbilete av tennene i underkjeven med tannstein og misfarging.

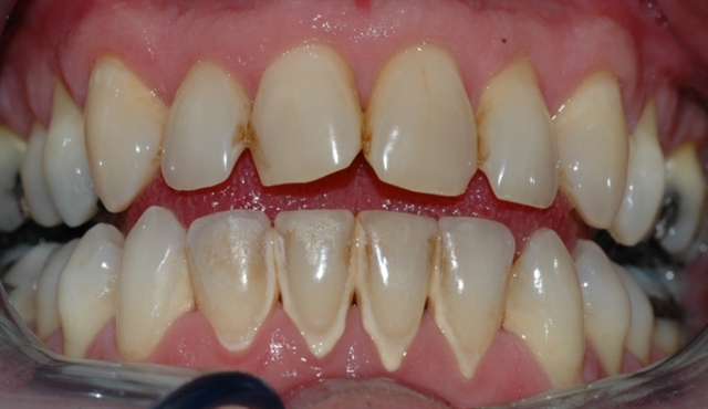
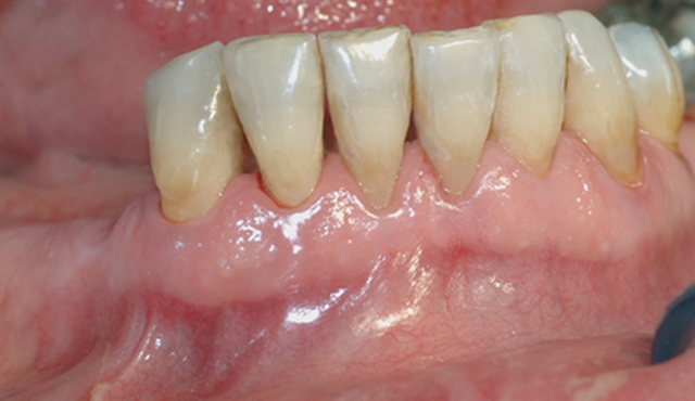
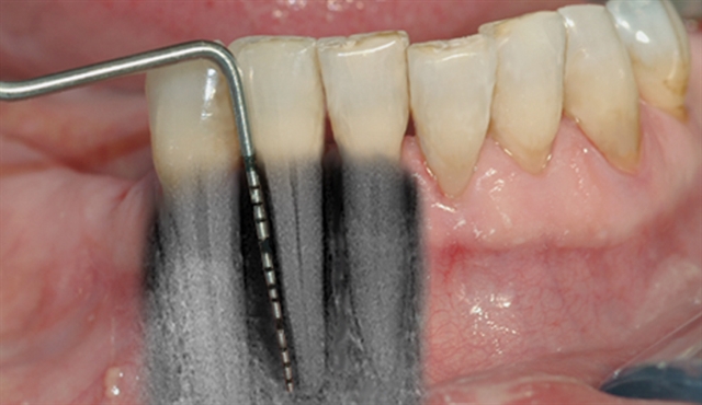
  • Biletet viser tilhøva i underkjeven etter at tannstein og misfarging er fjerna.

loader