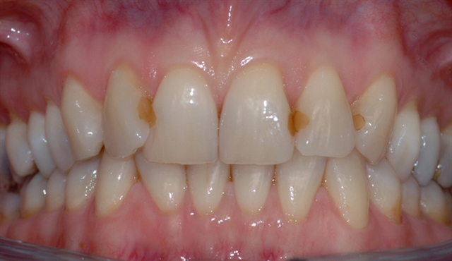
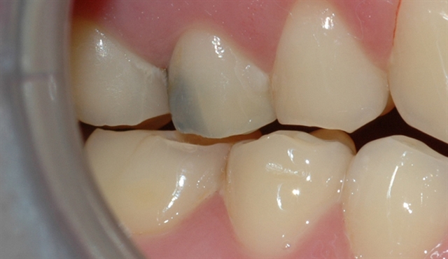
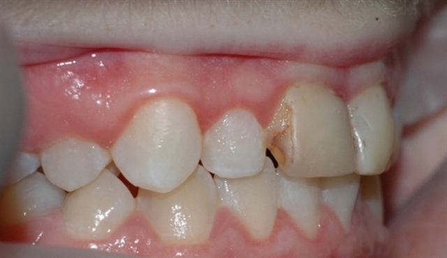
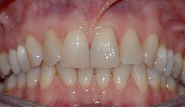
Utskifting av amalgamfyllingar

Tidlegare var det vanleg å nytte amalgam som fyllingsmateriale. Amalgamfyllingar er gråsvarte av farge og skil seg difor ut i tannrekkja. Samstundes ser ein ofte at tannsubstansen rundt fyllinga får eit blåleg skjær. Det er mogleg å skifte ut synlege amalgamfyllingar med meir estetiske alternativ. I mange tilfelle kan ei tannfarga fylling i plast (kompositt) vere ei god løysing.
Er amalgamfyllinga stor, kan ein alternativt nytte eit porselensinnlegg eller ei keramisk krone. Desse er sterkare og finare enn fyllingar i plast, men er òg vesentleg dyrare.
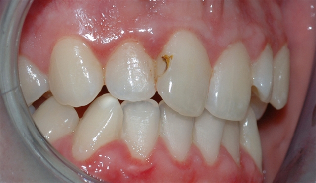
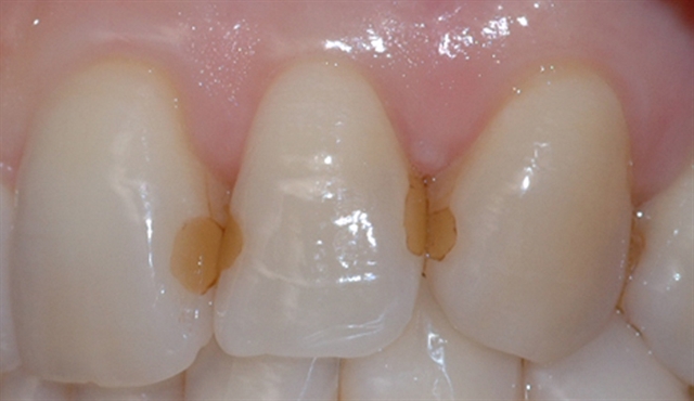
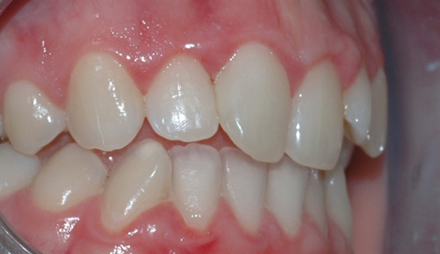
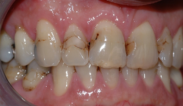
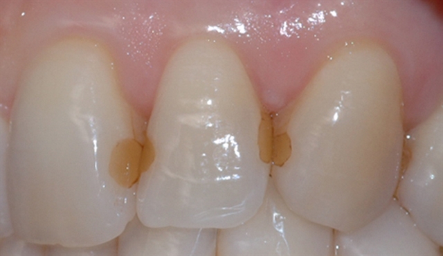
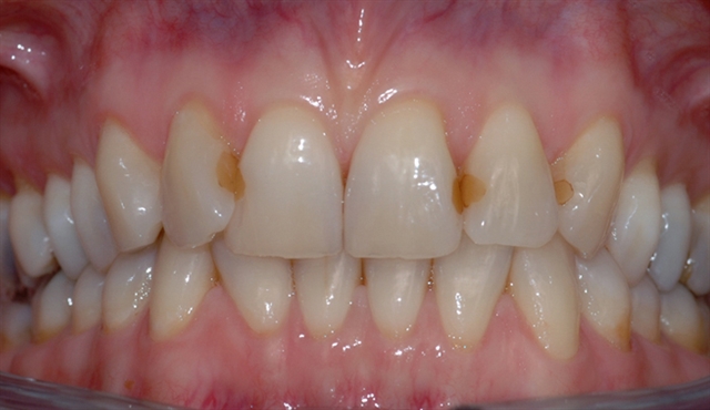
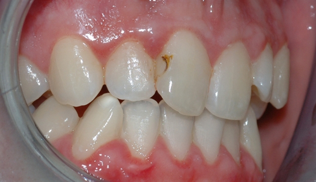
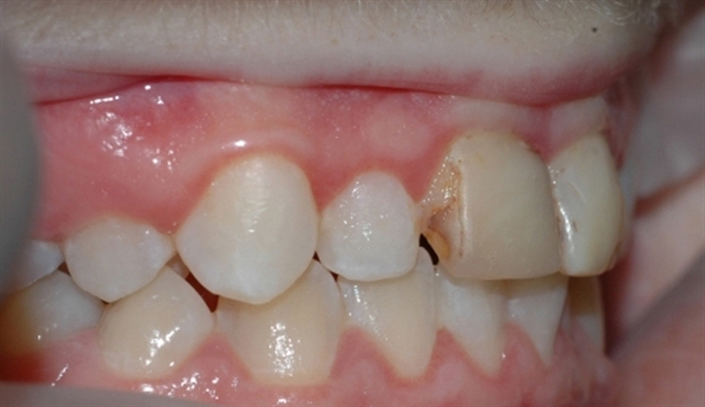
Utskifting av tannfarga fyllingar:

Når det gjeld plastfyllingar, kan desse over tid endre farge slik at dei skil seg ut frå tanna. Viss fyllingane ligg på lett synlege tannflater, kan dette verke skjemmande i eit elles fint smil. Overgangen mellom tann og fylling er særleg utsett for misfarging. Her kan fargestoff frå kaffi, te, røyk og så vidare trengje inn og gjere fyllingane meir synlege. Dersom dette ikkje kan verte korrigert med puss og polering, kan ein i staden for skifte fyllingane. Dei nye fyllingane vert lagde med ein farge som er mest mogleg lik tannfargen.
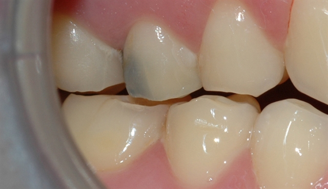
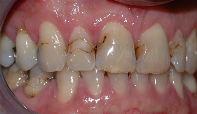
Utskifting av fyllingar etter tannbleiking

Dei fleste som prøver tannbleiking, får lysare tenner. Det varierer frå person til person kor mykje lysare tennene vert. Det er viktig å vere klar over at fyllingar ikkje endrar farge ved tannbleiking. Viss tennene responderer godt på bleikinga og vert lysare, vil difor plastfyllingar på framsida av tennene kome tydelegare fram. For å oppnå eit godt sluttresultat kan det difor vere naudsynt å skifte synlege plastfyllingar etter at bleikinga er gjennomført.